Останні новини порталу
11 квітня — Міжнародний день хвороби Паркінсона
Щороку 11 квітня світ нагадує: хвороба Паркінсона існує, вона торкається мільйонів людей — і кожен із них заслуговує на увагу, розуміння та найкращу медичну допомогу. Дата обрана...
Хвороба Альцгеймера: що важливо знати — і як жити з цим діагнозом
Хвороба Альцгеймера (ХА) — найпоширеніша причина деменції у світі: вона відповідальна за 60–80% усіх випадків. Але за статистикою стоять живі люди — з їхніми спогадами, звичками,...
Нова ера для боротьби з хворобою Паркінсона в Європі: Parkinson’s Europe представила стратегію на 2025–2028 роки
Організація Parkinson’s Europe, що об’єднує понад 30 національних асоціацій із 22 країн Європи, офіційно презентувала амбітну стратегію на 2025–2028 роки під гаслом «Нова ера для...
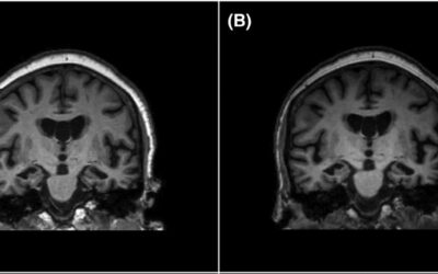
Наночастинки відновлюють гематоенцефалічний бар’єр мозку та виводять бета-амілоїд
Міжнародна команда вчених із Китаю та Іспанії розробила наночастинкову терапію, яка на 45% зменшує накопичення амілоїду в мозку мишей з експериментальною хворобою Альцгеймера та повністю...
Терапія хвороби Паркінсона за допомогою модифікованого нейротрофічного фактора (CDNF)
HER-096 – похідне CDNF, яке сприяє виживанню та відновленню нервових клітин. Експериментальна терапія, яку розробляє компанія Herantis Pharma для лікування хвороби Паркінсона,...
Кластери білку амілоїдів позбавляють клітини мозку енергії
Нове дослідження, опубліковане в Advanced Science, розкриває ключовий механізм прогресування хвороби Паркінсона: токсичні скупчення білка альфа-синуклеїну (alpha-synuclein) не лише...
Хвороба Альцгеймера в Україні та світі – Віктор Холін
30 min
Хвороба Альцгеймера та мікробіом: аспекти харчування людей з конітивними розладами – Любовь Півень
30 min
Стрес-асоційовані порушення, пов’язані з війною, та їх корекція – Світлана Наскалова
17 min
Рання діагностика і персоніфікована терапія для людей з хворобою Паркінсона – Ірина Карабань
35 min
Оцінка тунельних синдромів у пацієнтів з хворобою Паркінсона – Катерина Таряник
25 min
М’язова дистонія: діагностика та лікування – Вікторія Гриб
33 min
Останні конференції
21 вересня 2025
Відомі експерти з ключовими доповідями, що присвячені останнім дослідженням та поглядам на сучасний стан проблем хвороб Альцгеймера та Паркінсона.
30 травня 2025
Дізнайтеся про останні клінічні дослідження, підходи до діагностики, лікування та реабілітації від провідних експертів.
11 квітня 2025
Світ останніх досягнень та наукових відкриттів: інноваційні терапевтичні втручання та реабілітація, молекулярні механізми, генетика, діагностика та технології.
21 вересня 2024
Візьміть участь у практичних навчальних заходах, спрямованих на покращення практичних навичок, обмін передовим досвідом у сфері нейродегенеративних захворювань.
Поради для доглядачів
У 2024 році за редакцією Віктора Холіна вийшов посібник для пацієнтів та людей, що надають догляд за хворими на деменцію.
Це практичний і доступний ресурс із простими поясненнями, що таке деменція, її поширені види, ключові симптоми та фактори ризику. Наведено конкретні поради зі спілкування, щоденного догляду та підтримки емоційного стану пацієнта і доглядальника, а також стратегії зниження ризику й збереження якості життя.
Публікація видання стала можлива за підтримки фармацевтичної компанії Acino.
Автор — доктор Віктор Холін, провідний український експерт з деменції, медичний експерт МОЗ України та автор численних наукових публікацій і національних протоколів лікування.
Наші соціальні мережі
Підписуйтесь на наш YouTube-канал, де невдовзі проходитиме трансляція конференції, а також на Telegram-канал.
Реєструйся зараз!
Відкрийте для себе передові технології, методи лікування та дослідницькі ініціативи на нашій інноваційній вітрині.





